حذّرت دراسة أمريكية حديثة من أن تراجع صحة الفم والأسنان، وخاصة أمراض اللثة، مرتبطة بزيادة ...
أكمل القراءة »أرشيف الوسم : الأسنان
دراسة:الحشو المعدني للأسنان...
أفادت دراسة تركية حديثة، بأن استخدام الحشو المعدني للأسنان يمكن أن يسرب مادة الزئبق إذا تع...
أكمل القراءة »علماء يبتكرون مواد طبيعية ت...
طور علماء من كلية الملكة ماري في جامعة لندن مادة تشبه إلى حد كبير في تركيبها وخواصها مينا ...
أكمل القراءة »تعرفوا إلى عدسات الأسنان ال...
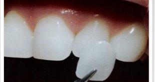
تعد العدسات التجميلية اللاصقة للأسنان أو القشور الخزفية أحدث صيحات تجميل الأسنان حاليا، لم...
أكمل القراءة »مدينة مراكش تحتضن مؤتمرا دو...
تنظم النقابة الوطنية لصانعي ومرممي الأسنان في مدينة مراكش، مؤتمرا دوليا طيلة ثلاثة أيام من...
أكمل القراءة »لماذا يجب علينا الإحتفاظ ب...
عندما يصبح الأطفال بعمر معيّن، تسقط عادة أسنان الحليب حتى تحل مكانها الأسنان الدائمة. وأظه...
أكمل القراءة »
مراكش 24 | جريدة إلكترونية مغربية مستقلة